• Anaplastic Lymphoma Kinase(ALK)
  • Anaplastic Lymphoma Kinase(ALK)

Anaplastic Lymphoma Kinase(ALK)

No.ALK

Mouse anti-human: monoclonal antibody Applicable tissue: paraffin section

Clone number : 5A4 Pre-processing: Hot fix ( EDTA

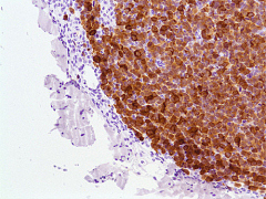
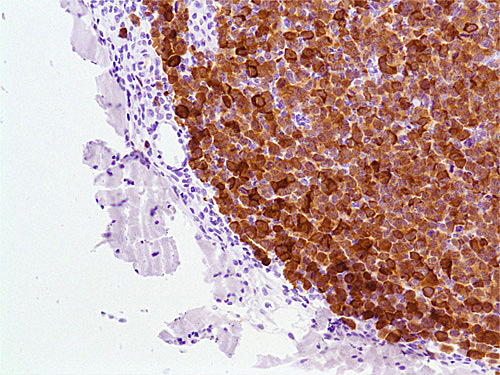
Positive site: cytoplasm / Nucleus Positive Control : Large cell lymphoma

Registration No.: Yuezhong Equipment 20180110 Number

ALK is a pleiotropic growth factor tyrosine kinase receptor protein. 200KDa In normal tissues, it is only expressed in small amounts in the mature nervous system (glial cells, neurons, endothelial cells, and pericytes). Studies have found that in anaplastic large cell lymphoma (ALCL ), non-small cell lung cancer ( NSCLC ) and other tumors, ALK Chromosomal gene rearrangement, causing it to fuse with other genes, such as EML4-ALK , NPM-ALK , TPM3-ALK Fusion genes such as , activate the signal transduction pathways related to cell survival and proliferation, and then cause tumors. SP8 , ALK1 Available for ALCL Testing ALK Fusion protein detection D5F3 , 5A4 , 1A4 Available for NSCLC middle ALK Fusion protein detection.

  • Anaplastic Lymphoma Kinase(ALK)

Description

Product Code

Product Number

Specification

Remark

AQ21642

NCL-ALK-5A4

0.2mL/bottle

Concentrated

AQ21643

NCL-ALK-5A4

1mL/bottle

Concentrated

AQ21644

RTU-ALK-5A4-QH

2mL/bottle

Ready to use

AQ21645

RTU-ALK-5A4-QH

7mL/bottle

Ready to use

AQ21646

BOD-ALK-5A4-QH

7mL/bottle

Airborne